
Endodontia
A endodontia é a especialidade da Medicina Dentária dirigida ao tratamento do órgão pulpar. A polpa é a estrutura mais interna do dente, protegida pela dentina e pelo esmalte. Os sintomas de desordem pulpar podem ser dores prolongadas, “moedeiras”, dor espontânea, sensibilidade ao frio/quente que perdura por alguns minutos e dor aumentada na posição horizontal. Com o perdurar da condição dolorosa e da infeção pode originar-se fístulas ou abcessos. O tratamento consiste na remoção do tecido infetado, neste caso a polpa dentária, o que pode envolver uma ou mais consultas até uma limpeza total e posterior reconstrução coronal.
Cirurgia Geral
A Cirurgia Oral é a especialidade da Medicina Dentária dedicada à prevenção, diagnóstico e tratamento de alterações, lesões e patologias da cavidade oral e estruturas anexas. O tratamento normalmente consiste na eliminação do agente infecioso que doutra forma não seria tratável. As cirurgias vão desde uma simples extração, até extrações complexas de sisos inclusos. Aqui também se encontram as cirurgias de gengiva, biópsias e patologias menores.


Implantologia
A Implantologia é a área dentro da Cirurgia Oral dedicada à reposição de peças dentárias por meio de implantes dentários. Substituem a raiz dentária onde posteriormente serão colocadas coroas, próteses ou pontes que repõem a dentição perdida. São constituídos por titânio, um material biocompatível e mundialmente estudado. É um tratamento bastante eficaz na substituição fixa de dentes, repondo a estética a função do paciente. A cirurgia é realizada após um estudo aprofundado das estruturas normalmente por meio de TAC’s, onde se decide o número, qualidade do osso, espessura do mesmo, posição das artérias, nervos, vasos, etc.
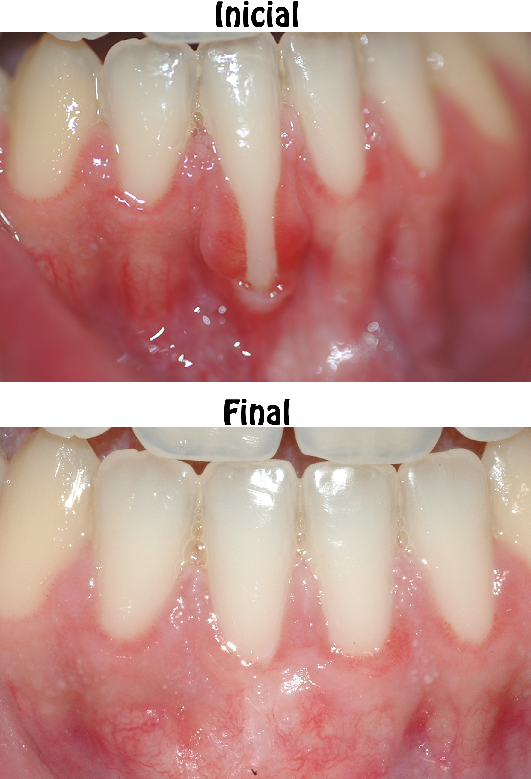
Periodontologia
A Periodontologia é a especialidade da Medicina Dentária dirigida à prevenção, diagnóstico e tratamento das doenças que afetam o periodonto, ou seja, o conjunto de tecidos que incluem a gengiva, o osso e o ligamento periodontal, responsável por manter a firmeza dos dentes nos maxilares. A etiologia da doença periodontal é caracterizada pela acumulação crónica de bactérias nos tecidos da cavidade oral. Esta acumulação provoca uma ativação das células de defesa do nosso organismo que devido ao fator genético será do tipo destrutivo. Clinicamente conseguimos identificar através de uma gengiva avermelhada a roxa, modificação da sua anatomia original (receções) e finalmente mobilidade dentária e perda do dente.


Reabilitação Oral
A Reabilitação Oral é a especialidade da Medicina Dentária dirigida ao restabelecimento e manutenção das funções do complexo maxilo-mandibular, nomeadamente a nível mastigatório, fonético e estético. Trabalhando em estreita cooperação com outras especialidades como a Cirurgia Oral, Implantologia, Endodontia, Dentisteria, Ortodontia ou Periodontologia, a Reabilitação Oral é responsável pelo restabelecimento das funções orais, quer seja através da reconstrução e reparação dos dentes danificados como da colocação de próteses dentárias (unitárias, parciais ou totais) que visam a substituição dos dentes em falta.
Dentisteria
A Dentisteria Restauradora é a especialidade da Medicina Dentária que restaura (reconstrói) a coroa total ou parcialmente destruída por cárie, por traumatismos ou outras razões. O tratamento devolve a anatomia dentária essencial para a estética e para a função.


Ortodontia
A Ortodontia é a área da Medicina Dentária especializada no diagnóstico, prevenção e tratamento de alterações dentárias (mau posicionamento dentário) e esqueléticas (crescimento/posicionamento incorreto dos maxilares). O termo técnico para designar essas alterações é má oclusão, que significa “má mordida”. Os problemas de má oclusão (encaixe dos dentes superiores e inferiores) podem ser hereditários como adquiridos, quer por hábitos (o uso prolongado de chupeta ou a sucção do polegar, a interposição lingual, respiração oral,…), quer por perda precoce de dentes de leite ou definitivos, para além de outros fatores, em que o paciente pode apresentar diastemas, dentes apinhados, sobre mordida (dentes superiores cobrem grande parte dos inferiores), mordida aberta (dentes superiores e inferiores quase não se tocam), mordida cruzada,…
Odontopediatria
A Odontopediatria é a especialidade da Medicina Dentária exclusivamente dedicada à manutenção da saúde oral de crianças, adolescentes e pacientes com necessidades especiais. Esta especialidade alia-se fortemente à prevenção pois é nestas idades precoces que podemos identificar e resolver problemas que mais tarde se tornariam complicados. A manutenção saudável dos “dentes de leite” guia a manutenção saudável dos dentes permanentes, assim como das estruturas relacionadas e adjacentes.


Ortodontia Interceptiva
Área dentro da Ortodontia que remete à correção a nível quer dentário quer ósseo efetuado em idades precoces (em dentes de leite ou dentição mista). O tratamento precoce permite uma resolução de hábitos disfuncionais e diferenças ósseas desde cedo. Os dentes de leite são um “guia” para os dentes permanentes, daí que a deteção de problemas e a sua resolução torna o tratamento mais eficaz. Os tratamentos em dentição decídua/mista efetuam-se há mais de 25 anos. A duração dos tratamentos é variável e dependente do tipo de anomalia que o paciente apresenta e são completamente indolores. Devido às forças serem fisiológicas (ou seja, adaptadas a cada paciente, suaves) não causam qualquer dano às estruturas e dentes e são facilmente adaptáveis ao paciente (crianças). As crianças normalmente percebem o seu problema, assim como os pais tornando o tratamento muito fluente e as mesmas muito colaborantes.
Terapia Miofuncional Orofacial
A Terapia Miofuncional é a especialidade dedicada à reabilitação das disfunções neuromusculares na estrutura orofacial, nomeadamente relacionadas com a fala, deglutição, mastigação e respiração. Através de técnicas terapêuticas diretas, esta especialidade visa o aumento da tonicidade muscular e da mobilidade orofacial, promovendo também o relaxamento e a coordenação da musculatura da cavidade oral.


Psicologia Clínica
Especialidade clínica que se dedica à avaliação e intervenção nos problemas de saúde mental, alterações comportamentais, cognitivas e/ou emocionais. A especialidade de Psicologia Clínica engloba a psicoterapia ou o apoio psicológico, consoante o diagnóstico clínico. Destacamos avaliação e intervenção na infância e adolescência (ex.: perturbação de ansiedade, perturbação de hiperatividade, défice de atenção e concentração, dificuldades de aprendizagem, regulação emocional, enurese, anorexia e bulimia) e avaliação e intervenção em adultos (ex.: perturbação depressiva, perturbação de ansiedade, perturbação do comportamento alimentar, luto, terapia conjugal e sexologia).
Sedação Consciente
Serviço suspenso temporariamente…
A Sedação Consciente é utilizada para controlar a ansiedade gerada pelo medo de ir ao dentista que pode mesmo impossibilitar ou dificultar o tratamento dentário. A técnica de sedação consciente por inalação de óxido nitroso/oxigénio utiliza uma máscara nasal que liberta o gás sendo uma das técnicas mais utilizadas e estudadas por todo o mundo. Após a inalação do óxido nitroso, o paciente fica apto a fazer a sua vida normal logo após a consulta. Este procedimento é indicado tanto para adultos como para crianças que não conseguem gerir a fobia, o medo e a ansiedade e torna-os cooperantes durante a consulta.
